RELAX, REJUVENATE, REVIVE

هلا بيكي في أندلسية لصحة المرأة أنتِ الآن بعيادة الأسنان

زراعة الأسنان للسيدات بالضمان + تركيبة الزيركون ب3099 ريال فقط

تمتعي بأسرار الصحة والجمال، تمتعي بالعديد من الاختيارات والتفرد

ابدأي رحلتك الخاصة وخوضي تجربة فريدة من نوعها مع مركز أندلسية لصحة المرأة وهو مركز يجمع ما بين الجانب الطبي بعيادات مختلفة ومجهزة على أعلى مستوى، والجانب التجميلي بأفضل وأحدث الطرق للعناية بجمالك، وصالة رياضية للاهتمام برشاقتك، وورش عمل متنوعة مع أفضل الاطباء والمتخصصين

اختاري الأنسب مع أفضل اطباء الأسنان

تعرفي على أطباءنا

إيش بنقدملك من خدمات بعيادة الأسنان


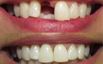
الفراغات اللي تنتج عن فقدان الأسنان تسببلك إحراج!الآن مع عروض زراعة الأسنان، استمتعي بمظهر لائق وضحكة مثالية مع طاقم طبي مميز فقط بأندلسية لصحة المرأة.

زراعة الأسنان


لمدة 6 أشهر وباستخدام الموجات فوق الصوتية احصلي على أسنان نظيفة ولامعة مع خدمة التنظيف والتلميع وهي إضافة مهمة للعناية بالفم

تنظيف الأسنان من التسوس بدون ألم بجلسة واحده


لانه قادر على إزالة الجير المتراكم والذي يصعب إزالته بالطرق العادية وللحماية من أمراض اللثة و الحفاظ على الأسنان بدون تآكل


في جلسة واحدة تقدري تحصلي على أسنان

مشرقة بلون أبيض طبيعي مع الفينيير مع أفضل اطباء الاسنان

الفينيير

متى تحتاجين الفينييرز؟

أسنان مكسورة

تغير لون الأسنان أو البقع

ملء الفراغات



يمكنك أن تصلي بأسنانك لدرجة تفتيح عالية وطبيعية تدوم لأكثر من 6 أشهر مع خدمة تبييض الأسنان بالأشعة فوق البنفسجية

متى تحتاجين تبييض الأسنان؟

في حالات التصبغ والبقع على الأسنان

تبييض الأسنان مع افضل دكتور أسنان



ابتسامتك هي سر جاذبيتك فلا تخفيها

مع علاج الابتسامة اللثوية بالليزر الأكثر فاعلية في العالم

الابتسامة اللثوية

مركز أندلسية لصحة المرأة من الداخل

Click to play video

مركز أندلسية لصحة المرأة

للإستفسار الرجاء الأتصال ب 0122166604

٢٣٦٢٣ حى المحمدية ، شارع الأمير سلطان جدة